Implant Planning and Surgical Guides

Two male dental lab technicians in blue scrubs looking over and discussing a piece of prosphetic work they're working on.
Three lab technicians in blue scrubs smiling and looking at a computer screen together.

Dental Implant Planning and Surgical Guides

At Dentogenics we enjoy working closely with our Dental colleagues to ensure precise and accurate results. Our job is especially satisfying when we can see a case through from start to finish, beginning with the implant planning and surgical guides. We use the latest advanced imaging software for the highest level of planning and accuracy.

Being both a qualified dentist and laboratory technician, our lead technicians can even use their unique background to aid planning when designing the dental implant surgical guides if requested.

Dental Implant Planning and Surgical Guide Benefits Include

An x-ray of someone's jaw showing their top set of teeth as implants.

Precision and Accuracy

A transparent surgical guide placed over a model of teeth.

Minimally Invasive

An open mouth showing the top set of teeth with a transparent surgical guide on top of the teeth. There is dried blood on the patients mouth.

Reduced Clinical Time

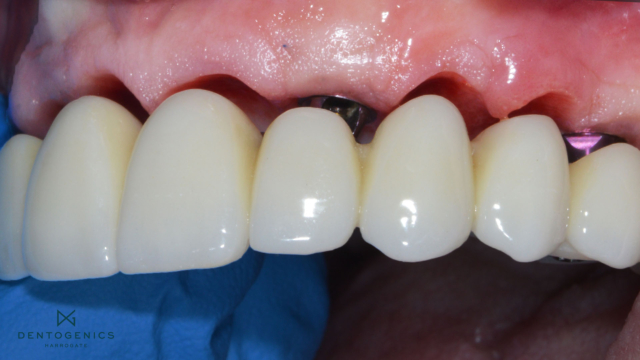
A top set of teeth surgically sewn on to the top of the gums inside a patient's mouth.

Improved Planning Reducing The Risk of Complications

Upper full set of white teeth and gums.

Patient Confidence

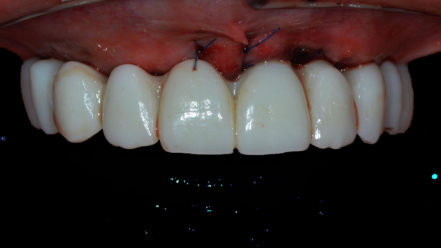
A top set of white teeth detaching from red gums.

Increased Predictability

Dental Implant Restoration Workflow

At Dentogenics, we understand that patients want to feel comfortable, confident and calm when undergoing advanced treatment such as dental implants. We can provide the highest quality surgical guides to ensure a happy, confident patient with efficient appointments.

By utilising the workflow below, we will do all we can to provide only the highest standard of surgical guide:

  • Digital scan
  • CBCT scan
  • Intra and extra oral photographs (ideally with SLR camera)
A large dark desk with multiple workspaces, with computer spaces and glass work tops in a high-tech lab.
A narrow bright white room with lab machines on a silver work top.

Dental Implant Planning

Whatever your experience level with dental implants, speak to our team about how we can help with implant planning and surgical guides.

We use only the highest quality materials and state-of-the-art techniques to ensure your patients are delighted and can smile confidently with the work you provide.

We love getting feedback that the patients couldn’t even tell which one was their new tooth!

Place an enquiry

This field is for validation purposes and should be left unchanged.
Dentogenics
Privacy Overview

This website uses cookies so that we can provide you with the best user experience possible. Cookie information is stored in your browser and performs functions such as recognising you when you return to our website and helping our team to understand which sections of the website you find most interesting and useful.